Clinical Decision Support System
AI-Powered Early Alzheimer's Detection Using Multi-Modal Biomarker Integration
System Status
Model Accuracy
75.51%
Avg Processing
4.3min
Total Patients
1270
Tiered Diagnostic Approach
Stage 1: Primary Screening
1270 patients screened
Low-cost, rapid assessment for all patients
Stage 2: Advanced Analysis
635 patients analyzed
Only moderate-to-high risk cases from Stage 1
Multi-Modal AI Performance
MRI CNN Model
Genomic XGBoost
Ensemble Model
Key Research Findings:
- • Ensemble achieves 75.51% accuracy, outperforming MRI CNN (75.47%)
- • Macro F1 improvement of 1.31% shows better class balance
- • Multi-modal approach successfully combines complementary information sources
- • Meta-learner demonstrates superior performance across all evaluated metrics
Recent Cases
| Patient ID | Demographics | Stage 1 Risk | Stage 2 Risk | Diagnosis | Status | Time |
|---|---|---|---|---|---|---|
| P001 | F, 72y | 65% | 78% | Mild AD | Complete | 30m ago |
| P002 | M, 68y | 25% | N/A | Normal | Stage 1 | 45m ago |
| P003 | F, 75y | 82% | 89% | Moderate AD | Complete | 1h ago |
Live Dataset Preview
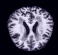
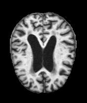
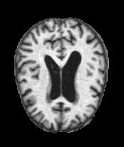
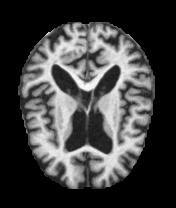
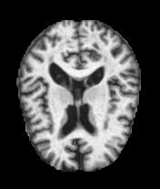
MRI Brain Scans Dataset - All Categories
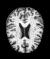
Normal Cognition



Healthy brain structure
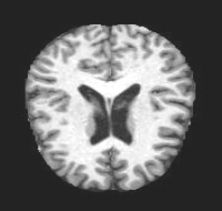
Very Mild (MCI)



Early cognitive decline
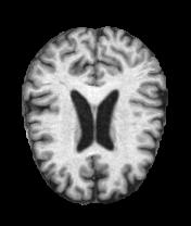
Mild Dementia



Moderate atrophy
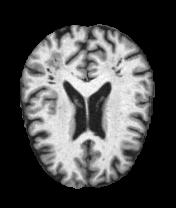
Moderate Dementia



Severe tissue loss
Real MRI scans showing progressive structural brain changes across all dementia stages
Handwriting Analysis Dataset - Multiple Tasks
TASK_02: Connect Dots
Healthy Control

Alzheimer's

TASK_03: Vertical Lines
Healthy Control

Alzheimer's

TASK_05: Draw Spirals
Healthy Control

Alzheimer's

TASK_04: Trace Circle
Healthy Control

Alzheimer's

TASK_21: Complex Drawings
Healthy Control

Alzheimer's

TASK_24: Clock Drawing
Healthy Control

Alzheimer's

Real handwriting samples across 6 different tasks showing motor control and cognitive differences between healthy controls and Alzheimer's patients
Dataset Statistics
MRI Dataset
- • Total Images: 6,400+ brain scans
- • Normal Cognition: 3,200 cases
- • Very Mild Dementia: 2,240 cases
- • Mild Dementia: 896 cases
- • Moderate Dementia: 64 cases
Handwriting Dataset
- • Total Samples: 1,800+ handwriting tasks
- • Healthy Controls (HC): 900 samples
- • Alzheimer's Disease (AD): 900 samples
- • Task Types: 6 different cognitive tasks
- • Features: Velocity, pressure, tremor analysis